GE Ultrasound Feature
AI Needle Recognition
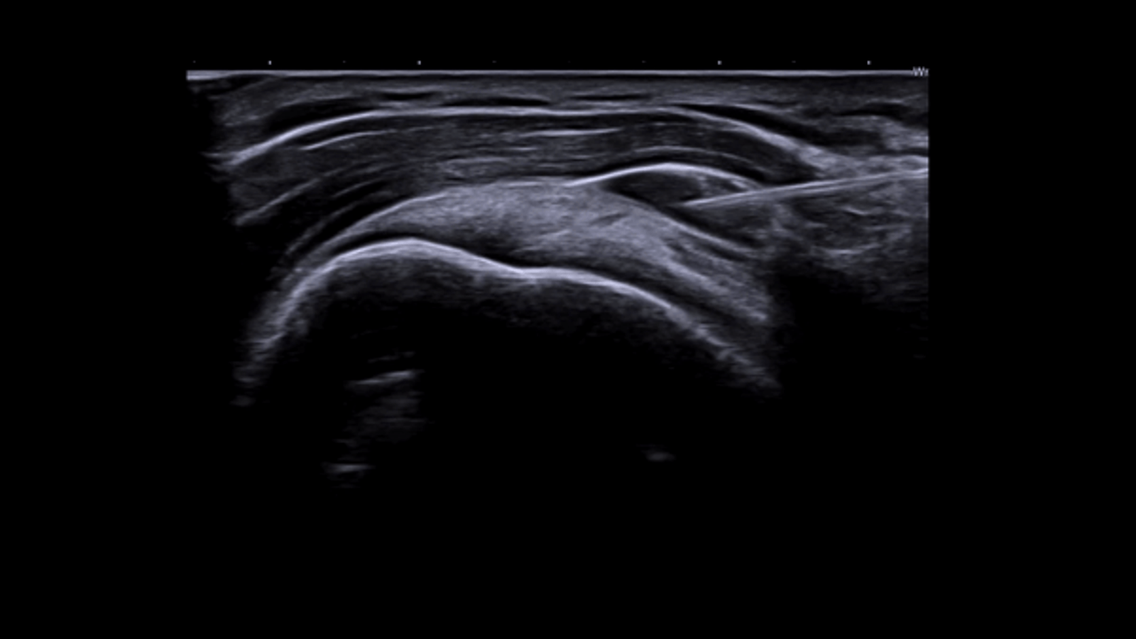
InterventionalAI Needle Recognition uses pattern recognition algorithms to identify and enhance the needle in real time during ultrasound-guided procedures. The system detects the needle shaft and tip against the surrounding tissue, applying visual enhancement that makes the needle clearly visible even at steep insertion angles or in deep tissue where conventional B-mode imaging struggles to distinguish the needle from background anatomy. Combined with GE's B-Steer+ beam steering technology, which optimizes the ultrasound beam angle relative to the needle, AI Needle Recognition gives interventional operators confident needle tracking during biopsies, nerve blocks, vascular access, and joint injections.

Key Benefits
Why AI Needle Recognition matters
Clear needle visualization at steep insertion angles
AI pattern recognition maintains needle visibility even at angles where conventional ultrasound imaging loses the needle reflection. This is critical for deep targets that require steep needle trajectories, such as liver biopsies or deep nerve blocks.
Fewer needle passes to reach the target
Confident real-time needle tracking means operators can guide the needle to the target on the first pass more often. Fewer passes reduce procedure time, patient discomfort, and the risk of complications such as pneumothorax or hematoma.
Simultaneous anatomy and needle display with B-Steer+
B-Steer+ optimizes the beam angle for needle reflection without degrading the surrounding anatomical image. Operators see both the needle and the target structures in a single frame, eliminating the need to toggle between imaging modes during the procedure.
Broad procedural coverage across specialties
AI Needle Recognition supports procedures ranging from vascular access and nerve blocks to organ biopsies and musculoskeletal injections. Emergency medicine, anesthesiology, interventional radiology, and pain management all benefit from the same needle enhancement technology on a single platform.
About AI Needle Recognition
AI Needle Recognition applies image processing algorithms trained to identify the linear reflective pattern of a needle within ultrasound images. Unlike conventional needle enhancement that relies solely on compound imaging angles, the AI approach detects the needle structure through pattern recognition, maintaining visualization even when the needle enters at steep angles that would normally produce weak reflections. B-Steer+ complements this by electronically steering the ultrasound beam to optimize the insonation angle relative to the needle trajectory, maximizing specular reflection from the needle surface. The combined system displays the needle and surrounding anatomy simultaneously without the image quality tradeoffs that older beam-steering methods introduced. Multi-plane visualization options show the needle in both longitudinal and transverse orientations, giving operators spatial awareness of the needle position relative to target structures and critical anatomy to avoid. The system works with a range of needle gauges and types, from fine-needle aspiration needles to larger biopsy needles. For emergency medicine, anesthesiology, interventional radiology, and pain management, AI Needle Recognition reduces the number of needle passes required to reach the target, decreasing procedure time and complication risk.
Availability
Available on these systems
Our Partners




































Want AI Needle Recognition in your practice?
Request a quote for a system that includes this feature.




