GE Ultrasound Feature
SonoLyst
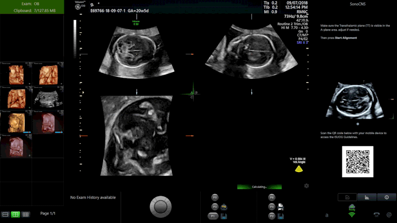
AI & AutomationSonoLyst uses deep learning to recognize standard fetal anatomical views during OB/GYN ultrasound exams. As the sonographer scans, the system identifies which anatomical structures and imaging planes have been captured and which remain outstanding. This real-time checklist approach helps ensure exam completeness, particularly for second-trimester anatomy surveys where missing a required view can mean recalling the patient. SonoLyst runs on GE Voluson systems and is trained on OB/GYN-specific datasets covering fetal brain, face, spine, heart, abdomen, and extremity views.

Key Benefits
Why SonoLyst matters
Automatic view recognition across fetal anatomy
SonoLyst identifies standard fetal imaging planes in real time, including brain, heart, spine, and abdominal views. The AI classifies views as they are acquired, so the sonographer knows immediately which anatomy has been documented.
Live exam completeness tracking
A running checklist displays which required views have been captured and which remain. This real-time feedback reduces the likelihood of finishing a scan only to discover a missing view during review, a scenario that leads to patient callbacks.
Consistent quality across operator experience levels
Less experienced sonographers benefit from the AI acting as a second set of eyes, confirming that each required anatomical plane meets the standard before moving on. This levels the quality gap between junior and senior staff.
Fewer patient callbacks for incomplete studies
Missed views during fetal anatomy surveys are one of the most common reasons for patient recall in OB/GYN practices. SonoLyst catches gaps before the patient leaves, which protects practice revenue and avoids the scheduling disruption of repeat appointments.
About SonoLyst
SonoLyst continuously analyzes the live ultrasound image stream during an OB/GYN exam, classifying each frame against a library of standard anatomical views defined by clinical guidelines. When the system recognizes a view (such as the biparietal diameter plane, four-chamber heart, or abdominal circumference measurement plane), it marks that view as captured in a running checklist. The operator sees which required views have been acquired and which are still needed, reducing the chance of an incomplete anatomy survey. SonoLyst is particularly valuable during fetal anatomy scans where guidelines require documentation of specific structures across multiple body systems. For practices with sonographers at varying experience levels, the AI checklist provides a consistent quality control layer that does not depend on the operator remembering every required view from a protocol list. The system also reduces the need for repeat appointments caused by missed views, improving patient experience and schedule efficiency. SonoLyst integrates directly with the Voluson scan workflow and does not require separate software or manual activation.
Availability
Available on these systems
Our Partners




































Want SonoLyst in your practice?
Request a quote for a system that includes this feature.



